Are you an NZ-based healthcare provider? Did you know we have a whole section on Healthify just for you, to assist in improving healthcare planning, delivery and outcomes?
Tooth decay
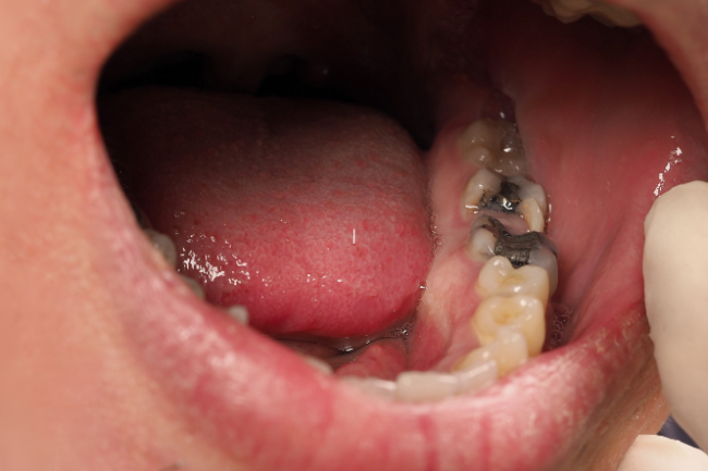
Also known as holes, cavities or caries
Key points about tooth decay
- Tooth decay is damage that occurs when bacteria eat sugars in your mouth and produce acid as a by-product.
- The acid damages your tooth enamel and causes a ‘hole’ in the tooth, known as a cavity.
- Bacteria in your mouth feed off sugar, so eating high-sugar foods regularly increases your risk of tooth decay.
- Tooth decay can cause pain, inflammation and infection.
- If you are aware of any problems see your dentist as soon as possible – early treatment is best.
- The best prevention is to clean and floss your teeth each day, use a fluoride toothpaste, avoid sugary foods, and see your dentist regularly.
Healthy tooth enamel is the hardest substance in the human body – it is glassy hard. However, bacteria stick to it very easily, forming a layer called plaque. This forms best between your teeth, in the grooves (fissures) on the biting surfaces of teeth and at the gum line.
When you eat, the bacteria eat too, and they continue to enjoy the small amount of food remaining on your teeth after you eat. These bacteria get their energy from sugar and other carbohydrates, but a byproduct of this is acid. Acid damages teeth.
Some foods are especially bad if they are already acidic (like soft drinks and juices), as this can damage your teeth even without the action of bacteria.
Image credit: Canva
You may notice:
- a tooth covered in food and debris
- holes in your teeth
- broken teeth
- brown or discoloured teeth
- sensitivity to hot or cold foods
- sensitivity to sweet foods
- ifficulty eating or chewing
- toothache
- bad breath.
If you think you have decay or a or a tooth cavity, visit your dentist as soon as possible. The sooner you get treatment, the more effective it will be.
Treatment of dental cavities can involve:
- applying fluoride to reverse minor enamel damage
- sealing damaged enamel with resin
- removing the decayed part of the tooth and filling the hole (with either an amalgam, gold or white filling)
- removing (extracting) the whole tooth if it can’t be saved
- a root canal filling – if the tooth pulp has died as a result of infection from the cavity, the tooth can often be saved this way.
If untreated, a dental cavity can lead to more caries, localised gum disease or infection of your sinuses and beyond. Some of these secondary infections can be serious, even life threatening.
Plaque and tartar provide the ideal environment for bacteria to thrive in. Keeping plaque and tartar at bay with good dental hygiene is key to preventing tooth decay.
- See your dentist regularly to prevent dental problems or spot them early.
- Brush your teeth twice a day (especially last thing at night before going to bed) using a fluoride toothpaste.
- Floss (or use an interdental cleaner) between your teeth once each day.
- Avoid sugary food, especially between meals.
- Don't drink fizzy drinks – even diet soft drinks are acidic and can erode your teeth. Instead, drink water and sugar-free drinks.
- Eat a healthy balanced diet with foods containing calcium (milk products and vegetables) and phosphate (leafy vegetables, fruit, meat and poultry).
Tooth decay(external link) NZ Dental Association
Resources
Keeping your teeth for a lifetime(external link) Healthy Smiles, NZ, 2012
Caring for teeth(external link) HealthEd, NZ, 2022
Brochures

HealthEd, NZ, 2022

Healthy Smiles, NZ, 2012
Credits: Healthify Editorial Team
Reviewed by: Dr Jonathan Broadbent, Associate Professor, Dental Public Health, Department of Oral Sciences, University of Otago
Last reviewed:
Page last updated: